S.E.S. 슈, 뱃살 논란과 건강 검진
S.E.S. 출신 슈가 SBS '스타건강랭킹 넘버원'에서 예상치 못한 건강 문제로 팬들을 놀라게 했습니다. 프로그램 예고편에서 슈는 뱃살에 대한 이야기를 나누던 중, 자신의 건강 상태에 대한 심각한 진단을 받게 됩니다. '신인 때로 돌아간 것 같은 그런 기분이다'는 슈의 말에 전영미는 '왜 하필 주제가 뱃살일 때 나를 불렀냐'며 웃음을 자아냈지만, 이어진 슈의 건강 문제는 웃어넘길 수 없는 현실을 보여주었습니다. 뱃살은 없지만, 오랜 소화불량과 변비로 고생해 온 슈는 결국 간에서 종양이 발견되는 충격적인 결과를 마주하게 됩니다. 이번 방송을 통해 슈는 자신의 건강 상태와 그동안 겪어온 고통을 솔직하게 이야기하며, 많은 이들에게 건강의 중요성을 다시 한번 상기시킬 예정입니다. 슈의 건강 검진 결과는 12일 오후 8시 10분 SBS '스타건강랭킹 넘버원'에서 확인할 수 있습니다.

소화불량과 변비, 숨겨진 위험
슈는 평소 소화불량과 변비로 인해 일상생활에서 큰 어려움을 겪어왔다고 밝혔습니다. 그녀는 '가방에 소화제를 종류별로 갖고 다닐 정도였다'며, '극심한 변비 때문에 응급실을 간 적도 있었다'고 토로했습니다. 이러한 증상들은 단순한 불편함을 넘어, 심각한 건강 문제의 신호일 수 있다는 것을 보여줍니다. 소화불량과 변비는 장기간 방치할 경우 비만으로 이어질 위험이 있으며, 더 나아가 다른 질병의 원인이 될 수도 있습니다. 슈의 사례는 우리에게 건강 관리에 대한 경각심을 일깨워주며, 작은 증상이라도 무시하지 않고 전문가의 도움을 받아야 함을 강조합니다.

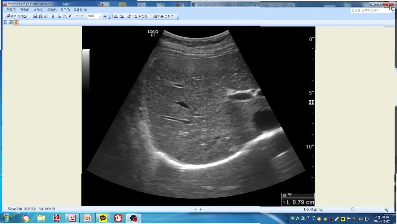
간혈관종, 예상치 못한 진단
슈의 건강검진 결과, 간에서 종양이 발견되었고 전문의는 '간혈관종'이라는 진단을 내렸습니다. 간혈관종은 간에 생기는 양성 종양으로, 대부분 증상이 없지만 크기가 커지면 복통, 소화불량 등을 유발할 수 있습니다. 슈는 예상치 못한 진단에 당혹감을 감추지 못했지만, 앞으로 건강 관리에 더욱 힘쓸 것을 다짐했습니다. 이번 방송을 통해 슈는 간혈관종에 대한 정보와 함께, 건강 관리에 대한 중요성을 강조하며 시청자들에게 건강한 삶을 위한 메시지를 전달할 것입니다. 슈의 건강 회복을 위한 노력과 앞으로의 활동에 많은 관심과 응원이 쏟아질 것으로 예상됩니다.

건강한 삶을 위한 메시지
이번 '스타건강랭킹 넘버원' 방송은 슈의 건강 문제를 통해 많은 사람들에게 건강 관리의 중요성을 다시 한번 강조합니다. 뱃살에 대한 유쾌한 이야기로 시작했지만, 슈의 건강 검진 결과는 우리에게 건강은 결코 가볍게 여길 수 없는 문제임을 보여주었습니다. 소화불량, 변비와 같은 작은 증상에도 귀 기울이고, 정기적인 건강검진을 통해 자신의 건강 상태를 정확히 파악하는 것이 중요합니다. 슈의 사례는 건강한 삶을 위해서는 꾸준한 노력과 관심이 필요하다는 것을 보여주며, 우리 모두에게 건강한 삶을 위한 동기 부여가 될 것입니다.

방송 정보 및 기대 효과
슈의 건강 상태와 건강 관리에 대한 이야기는 12일 오후 8시 10분 SBS '스타건강랭킹 넘버원'에서 방송될 예정입니다. 이번 방송을 통해 슈는 자신의 건강 문제를 극복하기 위한 노력과 함께, 건강한 삶을 위한 다양한 정보를 제공할 것입니다. 슈의 솔직한 이야기와 전문가의 조언은 시청자들에게 건강 관리에 대한 실질적인 도움을 줄 뿐만 아니라, 건강한 삶을 위한 동기 부여를 제공할 것입니다. 슈의 건강 회복을 응원하며, 이번 방송을 통해 많은 사람들이 건강의 중요성을 깨닫고 건강한 삶을 실천하는 계기가 되기를 바랍니다.

슈의 건강 적신호, 우리에게 던지는 메시지
S.E.S. 슈의 간혈관종 진단은 우리에게 건강의 중요성을 다시 한번 일깨워주는 계기가 되었습니다. 뱃살 논란으로 시작된 이야기는 소화불량, 변비 등 숨겨진 건강 문제들을 드러냈고, 결국 간혈관종이라는 예상치 못한 진단으로 이어졌습니다. 슈의 사례는 건강 검진의 중요성을 강조하며, 작은 증상에도 귀 기울이고 건강 관리에 힘써야 함을 보여줍니다. 이번 방송을 통해 슈는 건강한 삶을 위한 메시지를 전달하고, 많은 이들에게 건강한 삶을 위한 동기를 부여할 것입니다. 슈의 건강 회복을 응원하며, 우리 모두 건강한 삶을 위해 노력합시다!

자주 묻는 질문
Q.슈가 진단받은 '간혈관종'은 무엇인가요?
A.간혈관종은 간에 생기는 양성 종양으로, 대부분 증상이 없지만 크기가 커지면 복통, 소화불량 등을 유발할 수 있습니다.
Q.방송에서 슈는 어떤 이야기를 나눌 예정인가요?
A.슈는 소화불량, 변비 등 겪어온 고통과 간혈관종 진단에 대한 이야기를 솔직하게 털어놓을 예정입니다. 또한, 건강 관리에 대한 중요성을 강조할 것입니다.
Q.방송은 언제 어디서 볼 수 있나요?
A.12일 오후 8시 10분 SBS '스타건강랭킹 넘버원'에서 슈의 건강 이야기를 확인할 수 있습니다.

'연예' 카테고리의 다른 글
| 한혜진 유튜브 채널, '코인 방송' 해킹 후 결국 삭제.. 구독자들의 안타까움 자아내 (0) | 2025.11.11 |
|---|---|
| 윤현민, 백진희와 결별 후 사기 피해 고백…'미우새' 통해 드러난 충격적인 이야기 (0) | 2025.11.10 |
| 윤지민, '우주메리미'에서 또 한 번 레전드 갱신! 최우식 앞 무너진 야망, 충격적인 반전 (0) | 2025.11.10 |
| 이시영, 360만원 조리원 '럭셔리 육아'…'세계 1위 유모차' 협찬으로 육아 비용 절감! (0) | 2025.11.10 |
| 장시원 PD, '불꽃야구' 잠실 직관! '최강야구' 갈등 속 전력 질주, 그 뒷이야기 (0) | 2025.11.10 |